Asbestos Mesothelioma Ct - Asbestos Is The Generic Term Used For The Group Of Fibrous Mineral Silicates Of Magnesium And Iron Whose Chemical And Physical Properties Make It Ideal For A Variety Of Commercial And Industrial Uses Asbestos Is Derived From The Greek Word Meaning - Cxrs are taken to have a look at abnormalities within the lung like thickening of the pleura or nodules within the lungs.

Asbestos Mesothelioma Ct - Asbestos Is The Generic Term Used For The Group Of Fibrous Mineral Silicates Of Magnesium And Iron Whose Chemical And Physical Properties Make It Ideal For A Variety Of Commercial And Industrial Uses Asbestos Is Derived From The Greek Word Meaning - Cxrs are taken to have a look at abnormalities within the lung like thickening of the pleura or nodules within the lungs.. We retrospectively reviewed a series of ct examinations (conventional, helical and high resolution scans) of 21 patients. Pleural mesothelioma is when the cells of the chest wall are damaged. asbestos injury cases in connecticut. mesothelioma is the most deadly form of asbestos cancer, and affects the mesothelial cells (cells that make up the membrane that line the pleural cavity, abdominal cavity, and heart sac,) or those which line either the chest or abdomen. Pleural effusions are typically hemorrhagic exudates of mixed cellularity but do not typically contain asbestos bodies.

ct scans and mris for mesothelioma analysis. Since 1989, only one mesothelioma case in the state concluded with a jury verdict. The classic distribution of pleural plaques seen on. Prior to 1980, most ships used asbestos insulation for piping and engine rooms. At the moynahan law firm, our focus is on building long term relationships with our clients.

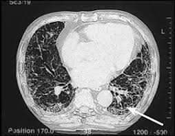
A Axial Ct Scan Of An Asbestos Exposed Person Shows A Left Sided Download Scientific Diagram
A Axial Ct Scan Of An Asbestos Exposed Person Shows A Left Sided Download Scientific Diagram from www.researchgate.net
A biopsy is the only definitive way to confirm a mesothelioma diagnosis. Advanced imaging offer much greater details and mris can help locate tumors significantly earlier than other scans. What you need to know. If you have worked and lived in connecticut for a significant amount of time, there is a chance that you were exposed to asbestos at home or in the workplace. Prior to 1980, most ships used asbestos insulation for piping and engine rooms. asbestos can be found in abundance in ships and shipyards. Connecticut light and power company was founded in 1917 by j. We report the ct findings of parenchymal and pleural diseases in a group of patients with a history of asbestos exposure, excluding lung cancer (which is not typical in this subjects) and asbestosis (which is a parenchymal fibrosis).

mesothelioma is the most deadly form of asbestos cancer, and affects the mesothelial cells (cells that make up the membrane that line the pleural cavity, abdominal cavity, and heart sac,) or those which line either the chest or abdomen.

If you have worked and lived in connecticut for a significant amount of time, there is a chance that you were exposed to asbestos at home or in the workplace. Like in most states, asbestos liability cases in connecticut rarely go to a jury. At the moynahan law firm, our focus is on building long term relationships with our clients. Most diagnosed cases are pleural mesothelioma, which forms on the lining of the lungs. This fatal cancer usually doesn't manifest until 2 to 5 decades after the exposure to the asbestos, which necessitates specific expertise for these types of claims. View website view lawyer profile email lawyer. Connecticut light and power company. Pleural effusions are typically hemorrhagic exudates of mixed cellularity but do not typically contain asbestos bodies. Notable asbestos verdicts awarded to connecticut workers. asbestos exposure in connecticut shipyards and asbestos. asbestos can be found in abundance in ships and shipyards. We retrospectively reviewed a series of ct examinations (conventional, helical and high resolution scans) of 21 patients. Under these circumstances, the company may have formed an asbestos trust fund.

mesothelioma testing commonly includes imaging scans, biopsies and blood tests. Since 1989, only one mesothelioma case in the state concluded with a jury verdict. We talk to our clients. Prior to 1980, most ships used asbestos insulation for piping and engine rooms. The company used asbestos components in its power facilities to provide electrical insulation and resistance.

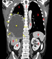
Asbestos And The Lung In The 21st Century An Update Prazakova 2014 The Clinical Respiratory Journal Wiley Online Library
Asbestos And The Lung In The 21st Century An Update Prazakova 2014 The Clinical Respiratory Journal Wiley Online Library from onlinelibrary.wiley.com
The classic distribution of pleural plaques seen on. Advanced imaging offer much greater details and mris can help locate tumors significantly earlier than other scans. Most diagnosed cases are pleural mesothelioma, which forms on the lining of the lungs. We retrospectively reviewed a series of ct examinations (conventional, helical and high resolution scans) of 21 patients. At the moynahan law firm, our focus is on building long term relationships with our clients. At 83 years of age, a merchant marine was awarded $2.4 million in settlements. Connecticut ranks 29th in the u.s. Since 1989, only one mesothelioma case in the state concluded with a jury verdict.

asbestos can be found in abundance in ships and shipyards.

This fatal cancer usually doesn't manifest until 2 to 5 decades after the exposure to the asbestos, which necessitates specific expertise for these types of claims. At the moynahan law firm, our focus is on building long term relationships with our clients. Gould injury lawyers is a personal injury firm with offices in new haven and hartford, connecticut that serves clients throughout the state. Pleural effusions are typically hemorrhagic exudates of mixed cellularity but do not typically contain asbestos bodies. Since 1989, only one mesothelioma case in the state concluded with a jury verdict. Connecticut ranks 29th in the u.s. mesothelioma testing commonly includes imaging scans, biopsies and blood tests. These trust funds allow mesothelioma victims to recover compensation even after the company has filed bankruptcy. If you have worked and lived in connecticut for a significant amount of time, there is a chance that you were exposed to asbestos at home or in the workplace. Hannibal saldibar worked as a tile setter for 30 years, using mortar that contained asbestos. Connecticut light and power company ceased using asbestos products in facilities in the early 1980s. We report the ct findings of parenchymal and pleural diseases in a group of patients with a history of asbestos exposure, excluding lung cancer (which is not typical in this subjects) and asbestosis (which is a parenchymal fibrosis). Most diagnosed cases are pleural mesothelioma, which forms on the lining of the lungs.

He developed mesothelioma in 2010 and died of the disease nine months later. Since 1989, only one mesothelioma case in the state concluded with a jury verdict. The classic distribution of pleural plaques seen on. Connecticut light and power company ceased using asbestos products in facilities in the early 1980s. Notable asbestos verdicts awarded to connecticut workers.

Pleural Plaques Causes Symptoms Diagnosis Treatment
Pleural Plaques Causes Symptoms Diagnosis Treatment from www.asbestos.com
If you have worked and lived in connecticut for a significant amount of time, there is a chance that you were exposed to asbestos at home or in the workplace. Pleural effusions are typically hemorrhagic exudates of mixed cellularity but do not typically contain asbestos bodies. This fatal cancer usually doesn't manifest until 2 to 5 decades after the exposure to the asbestos, which necessitates specific expertise for these types of claims. Cxrs are taken to have a look at abnormalities within the lung like thickening of the pleura or nodules within the lungs. For deaths related to prolonged asbestos exposure. We retrospectively reviewed a series of ct examinations (conventional, helical and high resolution scans) of 21 patients. Since 1989, only one mesothelioma case in the state concluded with a jury verdict. asbestos can be found in abundance in ships and shipyards.

Pleural effusions are typically hemorrhagic exudates of mixed cellularity but do not typically contain asbestos bodies.

mesothelioma testing commonly includes imaging scans, biopsies and blood tests. asbestos injury cases in connecticut. Connecticut light and power company ceased using asbestos products in facilities in the early 1980s. What you need to know. The company used asbestos components in its power facilities to provide electrical insulation and resistance. Connecticut has several military bases, including a naval base in new london. asbestos can be found in abundance in ships and shipyards. A biopsy is the only definitive way to confirm a mesothelioma diagnosis. These trust funds allow mesothelioma victims to recover compensation even after the company has filed bankruptcy. His family filed a wrongful death lawsuit on his behalf. Most diagnosed cases are pleural mesothelioma, which forms on the lining of the lungs. Since 1989, only one mesothelioma case in the state concluded with a jury verdict. That lawsuit resulted in a $2.6 million verdict to the family of a navy aircraft carrier firefighter who died of mesothelioma.

Post a Comment

0 Comments